インプラント治療のことは大阪市中央区玉造のカガミ歯科医院

インプラント治療とは



失った歯の部分に人工の歯根を埋め込むことでもとのような美しい歯を取り戻す治療です。
取り外しの入れ歯にかわって固定式の歯を入れることができます。
また、インプラントを利用して不安定な入れ歯をしっかりと固定することができます。自然な口元や表情を取り戻し、笑顔あふれる生活―QOL(クオリティー・オブ・ライフ)―の向上を目指します。
インプラント治療とは?大阪市中央区玉造のカガミ歯科医院

当たり前のような、しかしかけがえのない日々の営みを支えているのは私たちの歯です。歯が抜けて、大好きだった食べ物が噛めなくなり、歯切れよく会話を楽しんでいた方が無口になり、笑顔を見せることにさえ躊躇してしまうなど、たった一本の歯が抜けることで生活が一変してしまうことがあります。抜けてしまった歯は永遠にもどりません。そのため諦めてしまっている方も多いのではないでしょうか。
そのような方にはインプラント治療をお勧めします。

カガミ歯科医院ではチタン製のインプラントが日本に導入された直後から行っており、20年の実績があります。


カガミ歯科医院でのインプラント治療例


インプラント術前
治療前
インプラント術後
治療後



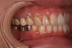
インプラント治療前(奥歯)
治療前
インプラント治療後(奥歯)
インプラント治療後(奥歯)
インプラント(人工歯根)を埋入
インプラント治療後(奥歯)
インプラント治療後(奥歯)
歯冠を被せたところ



ミニインプラント治療前
治療前
ミニインプラント治療中
インプラント(人工歯根)を埋入

ミニインプラント   ミニインプラント
入れ歯側 (裏)
 
入れ歯側 (表)
ミニインプラント
入れ歯を装着したところ


インプラント手術に関して