ホワイトニング・審美歯科のことは大阪市中央区玉造のカガミ歯科医院

きれいな歯のために



近年、雑誌やテレビで頻繁に目にする「審美歯科」という言葉・・・
単に「白い被せものをいれる」又は「ホワイトニングして歯を白くする」という意味に受け取っておりませんか??

当医院では、歯本来の機能を回復することを主眼に、より美しく自然感のある人工物(被せ物や詰め物)を提供していきます。
歯科医師、歯科衛生士、歯科技工士による3つのアプローチから患者様を支えていきます。
「機能を伴った美」を追求していきます。
また、機能に問題の無い患者様はホワイトニングの手法を用いて、より美しく見えるよう提案をしております。
なお、白いもの以外にもゴールドを使用した治療も引き続き行っております。


ホワイトニング・審美歯科のことは大阪市中央区玉造のカガミ歯科医院

セラミッククラウン
歯の全面にセラミック製のクラウン(冠)をかぶせ、しっかりと固定する方法です。
この治療の利点は、金属を全く使用しないので、金属アレルギーの方にも安心して受けることが出来ること。
そして自然歯のような仕上がりになる事も上げられます。
この治療の適応性は、位置がずれている歯、変色している歯、重度の虫歯、奇形歯、金属アレルギーの人などです。ですが、欠点としては、歯を大幅に削る必要があったり、あらかじめ神経の処置が必要になる場合があります。

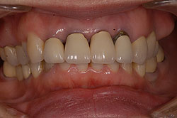
オールセラミック治療前
治療前
オールセラミック治療後
治療後(オールセラミック)
オールセラミック治療前
治療前
オールセラミック治療後
治療後(オールセラミック)
オールセラミック治療前
治療前
オールセラミック治療後
治療後(オールセラミック)
オールセラミック治療前
治療前
オールセラミック治療後
治療後(オールセラミック)

ラミネートベニア
歯の表面を薄く削り、0.5mm~1mmくらいのセラミックを歯の表面に接着する方法です。従来のクラウンと比較すると、歯の削除量が少なく審美性が回復できます。
歯の表面に接着するものなので、咬み合わせが悪い方、歯の色が悪い方は適応外になることもあります。
ラミネートベニア治療前
治療前
ラミネートベニア治療後治療後(ラミネートベニア)



カガミ歯科医院でのホワイトニング治療例


オフィスホワイトニング
当医院で施術する方法:歯の表面に薬剤を塗布し、ホワイトニング専用ライトを照射し歯の色を白くします。
利点:効果の強い薬剤を歯科医師管理のもとで行うため、ある程度の白さを早く実感してもらえます。
 
ホームホワイトニング
自宅で行う方法:オーダーメイドのトレーを用いて薬剤を歯の表面に塗布させます。
利点:通院回数が少なくてすみます。
 
デュアルホワイトニング
オフィスホワイトニングとホームホワイトニングを合わせた方法:より効果的なホワイトニングが期待できます。
 
ウォーキングブリーチ法
歯の神経を除去した後に現れる歯の変色に対して歯の内部に薬剤を入れ白くする方法。